What is a CBCT Scan?
Cone beam computed tomography (CBCT) is an imaging technique that makes use of a rotating X-ray tube device. Similar to a CT scanner. However, the machine can produce very detailed images of that region of the mouth and jaw.
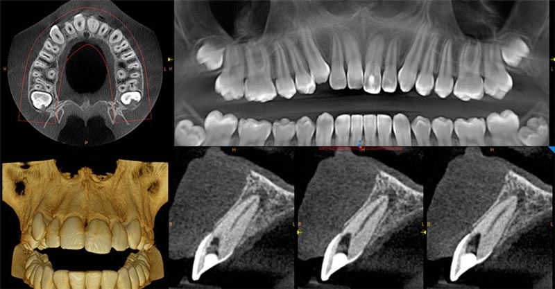
This scan gives a view of the teeth, jawbone, and adjacent structures inside the oral cavity where patients are being scanned. In addition, it allows dentists to evaluate not only the height and orientation of teeth but also the bones with high precision.
CBCT scans are valuable for determining tooth position, identifying any issues, moulding and implanting dental prosthetics, and evaluating the structure of the jaw and facial bones effectively. In times CBCT scans have gained acceptance among specialized dental professionals emerging as a primary standard in both orthodontic practices and general dentistry. Our dentist in Langley at Langley Dental Group utilizes advanced Dental CBCT Scans to provide precise and comprehensive diagnostics for effective treatment planning.
What Are the Common Applications for CBCT scans?
CBCT scans are used in aspects of dentistry for diagnostic purposes and treatment planning. Some key applications include:
- Dental Implants: Dentists rely on CBCT scans to evaluate bone quantity and quality in implant sites, facilitating precise placement and effective planning for dental implants.
- Endodontics: By providing a visualization of tooth interiors, CBCT scans assist dentists in accurately diagnosing and treating conditions, like root canal issues or damaged teeth.
- Injuries: CBCT scans assist in assessing the severity of trauma, aiding dentists in devising appropriate treatment strategies.
- Corrective Jaw Surgery: CBCT scans play a role in the preparation and execution of surgery, a procedure aimed at rectifying jaw and facial irregularities.
Our Services: Veneers in Langley
Benefits of CBCT Scans
CBCT scans offer several benefits over traditional X-rays, including:
- Higher accuracy:While traditional 2D X-ray images show only a limited side and portion of the tooth, CBCT scans 3D imaging offers dentists a complete view of the mouth and jaw to accurately detect surrounding conditions.
- Radiation:While there is a very low amount of radiation involved in dental imaging to be considered as a risk factor, in comparison with traditional tests, CBCT scans emit fewer radiation beams and hence tend to be much safer.
- Better treatment planning:CBCT scans provide 3D images that allow accurate and more exact treatment planning, achieving better precision during the surgical procedure.
- Greater comfort: With CBCT scans, patients are spending less time in the dental chair as compared with traditional X-rays. This minimizes patient discomfort and improves overall experience.
- Precise implant location:By allowing your dentist to plan your treatments based on an incredibly detailed map of your oral structures, CBCT scans lead to better placement for dental implants and a lower risk of complications.
- Comprehensive view of oral structures:360-degree views help dentists identify intricate details for better diagnosis.
- Improved patient satisfaction:Detailed CBCT images help explain conditions effectively, enhancing patient understanding and satisfaction.
- Increased efficiency:Digital CBCT images can be easily shared among professionals, streamlining communication and reducing the need for multiple scans.
- Cost-effective solutions:Despite higher initial costs, CBCT’s accuracy and efficiency can lead to overall savings in treatment expenses.
- Better patient compliance: Detailed CBCT visuals help patients understand their conditions and treatments, promoting observation for improved long-term oral health results.
Read More: Signs You Need a Root Canal

How Is A CBCT Scan Taken?
The step-by-step process for a CBCT scan typically involves the following steps:
- Patient preparation: Those items that contain metallic content such as belts, rings, glasses, dentures, or any other metallic item that the patient would be having on their body must be removed, while the chest of the patient will be exposed and covered with a hospital gown.
- Patient positioning: the patient is taken to an x-ray table that rotates through a 360-degree position, and more to that, the position of the patient could either be sitting or standing.
- Scanning:In this proceeding the position of the x ray machine will take pictures from the various positions in an endeavor to taken the best or rather clear pictures of the patient’s head.
- Reconstruction of the images:The images captured shall be sent to a computer, which should reconstruct the same and make it a 3D image. Hence, the final output is obtained
Depending on the results of the scan, additional steps such as treatment or follow-up scans may be recommended. The process is generally quick and easy, taking only a few minutes to complete. Patients typically experience minimal discomfort during the scan and may hear a gentle buzzing noise from the machine. After the scan is complete, the dental professional will discuss the results and any recommended next steps.
Our Services: Sedation Dentistry in Langley

Why Do You Need CBCT scans?
CBCT scans are commonly recommended for several dental purposes:
- For dental implant planning,these scans offer detailed images of the jawbone and surrounding structures, aiding dentists in optimizing implant placement.
- In endodontic therapy, CBCT scans assist in diagnosing and treating root canals, cracked teeth, and infections.
- Regarding orthognathic surgery, CBCT scans help evaluate facial and jaw abnormalities for treatment planning.
- In complex tooth extractions, CBCT scans provide a comprehensive view of root structures and surrounding tissues for removing impacted or decayed teeth effectively.
- For dental trauma patients, CBCT scans evaluate the dental damage extent to guide proper treatment planning.
- Diagnosing jaw disorders, like TMJ disorders, is facilitated by CBCT scans for precise identification.
- Pre-orthodontic evaluations use CBCT scans to plan treatments or determine the need for surgeries based on tooth and jaw positioning.
- Tumor detection in the oral and maxillofacial area, including cysts and growths, benefits from CBCT scans’ detailed imaging.
- Pre-prosthetic assessments with CBCT scans ensure the bone’s quality and quantity are fit before dental implant, dental bridge, or denture placements.
- Treatment planning for oral pathology is improved with CBCT scans, offering detailed images for diagnosis and planning.
- Analyzing jaw joints, especially the temporomandibular joint, is improved through CBCT scans for pinpointing issues like damage, misalignment, or degenerative disorders.
Here at Langley Dental Group, we will provide you with high-quality dental care services with the most advanced intra/oral scanner. We have you covered in General Dentistry, Cosmetic Dentistry, Emergency Dentistry, Wisdom Dentistry, Pediatric Dentistry, prosthodontics and dental implants. Achieve a beautiful, healthy smile with our professional dentistry services. Take the first step and call us today!
Read More: Wisdom Tooth Extraction in Langley
FAQs
Is a CBCT Scan safe?
Yes, CBCT scans are safe. The maximum radiation dose received by patients is less than 0.01 mSv, which is 100 times lower than that of traditional dental X-ray, and no radioactive material will be injected into your body. The treatment takes just 10 minutes, allowing you to get back to normal activities right after your exam.
How long will my appointment take?
Typically, a CBCT check visit might vary from half an hour to an hour or even more consisting of time invested in preparing for the treatment coupled with going over the outcomes.
How long the scan itself will take?
For a full mouth x-ray, it takes between 20-40 seconds and for a partial x-ray focusing on one area it takes less than 10 seconds.
Read more: Implant Alternatives


