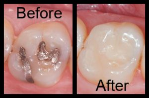
A dental tooth-colored filling is used to replace lost tooth structure caused by dental decay or tooth fracture. This procedure restores the damaged tooth to its original shape and function, ensuring both aesthetic appearance and proper dental function.
A dental tooth-colored filling is used to replace lost tooth structure caused by decay or fractures. The procedure involves removing the decayed portion, cleaning the affected area, and filling the cavity with the chosen material.
Types of Dental Fillings:
Gold: Custom-made in a laboratory, gold fillings are durable and can last over 20 years. They are considered one of the best filling materials due to their longevity.
Amalgam (Silver Alloys): These fillings are highly wear-resistant and cost-effective. However, their dark color makes them more noticeable compared to tooth-colored options.
Composite Resins: These fillings, also known as tooth-colored fillings, are matched to the natural color of your teeth for a more aesthetic appearance. They are applied directly to the cavity, hardened with a curing light, and are suitable for small to medium-sized fillings. However, they can chip over time and may stain from coffee and tobacco. Their lifespan ranges from 3 to 10 years.
Porcelain (Inlays/Onlays): Custom-made in a laboratory, porcelain fillings are matched to the tooth color and resist staining. They are typically used for larger fillings and cover the entire tooth surface. The cost is comparable to gold fillings.
How to Determine if You Need a Dental Filling:
Your dentist can detect cavities during a dental exam, often identifying early signs such as sensitivity to cold. Regular dental check-ups every six months are recommended to diagnose and treat dental caries promptly.
Read More: Dental Fillings in Langley

LDG Membership Plan
$499 /Year
Book An Appointment